亲爱的读者,你是否曾经好奇过医生是如何进行喉镜检查的?想象一个细长的镜子深入你的喉咙,将整个过程实时传输到屏幕上,这听起来是不是既神奇又有点紧张呢?今天,就让我们一起揭开喉镜视频全过程的神秘面纱,看看这个看似复杂的医疗操作究竟是如何进行的。

喉镜检查,顾名思义,就是医生使用喉镜对患者的喉咙进行检查。喉镜是一种医疗工具,它可以帮助医生观察喉咙、气管等部位的情况。这种检查通常用于诊断喉咙炎症、肿瘤、异物吸入等疾病。

喉镜主要分为两种类型:直接喉镜和间接喉镜。直接喉镜是医生最常用的工具,它可以直接观察喉咙内部。而间接喉镜则通过反射来观察,适用于一些特殊情况下。

1. 准备工作:在进行喉镜检查之前,医生会先向患者解释检查的目的和过程,确保患者了解并同意。同时,医生会准备好喉镜、消毒液、麻醉药物等。
2. 麻醉:为了减轻患者的痛苦,医生会在患者的喉咙部位进行局部麻醉。这个过程可能有点不适,但很快就会过去。
3. 插入喉镜:医生将喉镜的尖端轻轻插入患者的口腔,然后慢慢引导至喉咙部位。此时,患者可能会感到喉咙有异物感。
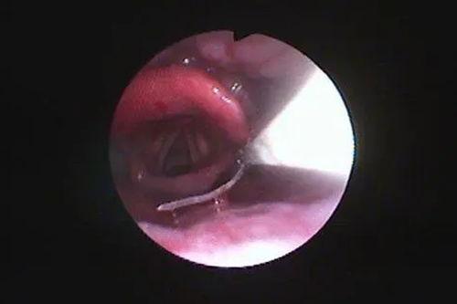
4. 观察:喉镜的镜头会将喉咙内部的情况实时传输到屏幕上,医生可以清晰地看到喉咙、气管等部位的情况。
5. 操作:在观察过程中,医生可能会进行一些操作,如取异物、切除肿瘤等。
6. 结束:检查结束后,医生会取出喉镜,并告知患者检查结果。
下面是一段喉镜检查的视频,让我们一起看看这个神奇的过程吧!
[视频:喉镜检查全过程]
(注:由于版权原因,无法在此处展示实际视频,请您自行搜索相关视频观看。)
1. 检查前,患者应避免进食和饮水,以免影响检查结果。
2. 检查过程中,患者应保持放松,避免紧张。
3. 检查后,患者可能会有喉咙不适感,这是正常的反应。
4. 如有疑问,请及时咨询医生。
通过以上内容,相信你对喉镜检查有了更深入的了解。这个看似复杂的医疗操作,其实并不神秘。只要保持放松,积极配合医生,就能顺利完成检查。希望这篇文章能帮助你消除对喉镜检查的恐惧,勇敢面对健康问题。